【双语】【疾控科普】带您了解梅毒防控小知识...
全球平均每分钟就有一人死于艾滋病!科学防治,让“艾”远离!...
要真正达到U=U,一个感染者要满足至少5个条件...
母婴传播艾滋病预防措施要牢记...
时至今日,一说到艾滋病,公众往往都会“谈艾色变”……认为感染上艾滋病,就如同被判了死刑,有的人甚至因此患上了“艾滋病恐惧症”。 ...
时至今日,一说到艾滋病,公众往往都会“谈艾色变”……认为感染上艾滋病,就如同被判了死刑,有的人甚至因此患上了“艾滋病恐惧症”。...
根据发表在《健康科学报告》上的最新研究,跨性别者感染艾滋病毒的比例,会受到地域、社会污名、预防药物获取以及艾滋教育缺失的影响...
“过年这几天,有过2次高危行为(约的陌生人,男男),现在每天在网上搜索症状,摸一下额头觉得发热,看一眼镜子觉得有皮疹,吃不下饭,睡不...
“艾滋病试纸的阴性结果可信吗?有没有可能是假阴性?已经感染了,但检测不出来!?”这是一个好问题,今天就来聊一下:艾滋病试纸的...
HIV的“创业”日记...
刚查出来梅毒,现在天天找借口躲在公司,不敢回家。害怕把梅毒传播给爱人、孩子,如果没治好前回去,家人会有危险吗?”今天就来聊一...
随着抗反转录病毒治疗(cART)的普及,HIV/AIDS 患者的生存期显著延长,曾经的 “绝症” 已逐渐转变为可长期管理的慢性疾病...
【双语】健康教育|正确识“艾”,科学防“艾”,以爱抗“艾”...
【双语】【科普】世界艾滋病零歧视日:消除艾滋歧视,共筑健康社会...
“梅毒”现在越来越少被人谈论了,很多人还觉得梅毒听上去像是“旧时代性病”,大家谈论的是艾滋病,是超级淋病,...
【双语】当怀疑感染梅毒时需要做哪些检查?...
【双语】| “沉默的杀手”——丙型肝炎...
【双语】艾滋病暴露前预防(PrEP),可以自己买药吃吗?...
在皮肤性病科门诊,总能看到患者满脸焦虑地询问:“医生,我身上这些小疙瘩,不会是尖锐湿疣吧?” 听到 “尖锐湿疣” 这几个字,很多人心里...
前言:乙型肝炎病毒在体内赖着不走超过6个月就是慢性乙型病毒性肝炎,很多人对乙肝的认识停留在“大三阳、小三阳、肝硬化、肝癌”...
01保持健康生活方式,避免感染 艾滋病、梅毒和乙肝的传播途径有哪些?性传播、血液传播、母婴传播。 易造成的感染高危风险因素有哪些?吸...
【双语】蚊子叮咬是否会传播HIV?答案来了→...
【双语】女HIV病患自然痊愈,男友和婴儿也是阴性...
【双语】乙肝疫苗必知的N件事...
提高CD4/CD8比值没有“速效药”,就像修复一座破损的城池,既要阻止外敌病毒入侵,又要修补城墙减少炎症损伤,还要训练士兵(健康生活方式)...
艾滋病(AIDS)是由人类免疫缺陷病毒(HIV)引起的疾病,这种病毒会破坏人体原有的免疫系统,导致患者身体抵抗力下降。当免疫系统遭到破坏后,...
【双语】黄金 72 小时!这颗 “后悔药”,能阻断艾滋病毒...
【双语】黄金 72 小时!这颗 “后悔药”,能阻断艾滋病毒...
HIV病毒入侵人体的关键靶点是CD4+T淋巴细胞(人体免疫系统的指挥官),HIV阻断药则通过多靶点作用阻止病毒复制扩散。其核心机制包括:抑...
在今日举行的“全球艾滋病预防重磅进展成果交流会暨Lenacapavir落地发布会”上,全球同类首创、一年仅需给药两次的HIV暴露前预防药...
3月1日零歧视日:拒绝偏见,看见每一个具体的“人”...
【双语】【知艾防艾,共享健康】消除偏见,用爱关“艾”——反歧视与关爱患者指南...
"2025年是中国发现第一位艾滋病患者的第40年。 2025年12月1日,联合国艾滋病规划署驻中国全球协调办公室主任莫易睿在发布会上说,...
确诊后,该如何向伴侣开口?(附法律底线与沟通指南)...
日本梅毒扩散!连续4年超1.3万例!必看...
【双语】关于丙肝的10个真相,一次说清!...
今天是3月1日,日历上一个看似普通的日子。但在全球范围内,这一天承载着一种关于“看见”与“拥抱”的沉重期许——世界零歧视日。当...
【双语】“如果”之后:关于艾滋病阻断,你必须知道的3件事...
如果你关注HIV治愈新闻,可能会觉得这个故事似曾相识:一名HIV感染者接受了干细胞移植来治疗一种侵袭性癌症。移植供体的细胞含有...
HIV是人类免疫缺陷病毒,它可以感染人体的免疫系统细胞。AIDS是HIV感染最严重的阶段,此时免疫系统受到严重损害,使得感染者容易受到...
梅毒,这一看似遥远的疾病,实则离我们并不远。它是由梅毒螺旋体感染引发的慢性全身性性传播疾病,在我国属乙类传染病。...
在当今社会,随着医疗水平的进步和科普宣传的深入,我国对艾滋病的防控能力显著提升,大众也普遍掌握了一定的艾滋病预防知识,比如知晓艾...
【双语】社科普及 | 关于艾滋病的9个真相...
【双语】守护健康,让艾无忧— 艾滋病防治知识指南...
【双语】一文读懂艾滋病:传播途径、预防方法全解析...
【双语】健康提示丨为什么说丙肝一定要及时治疗?...
【双语】《终结艾滋不是梦:科学、共治与关爱铸就的明天》...
【双语】梅毒疹是几期梅毒会出现的症状?...
【双语】为什么“男男”更容易感染艾滋病病毒?...
【双语】【疾控科普】认识丙肝,守护肝脏健康...
【双语】“肝”货警报:这个沉默杀手,也许正潜伏在你体内!...
【双语】消除艾滋病、梅毒和乙肝母婴传播项目核心知识...
感染HIV后,我的眼睛……...
【双语】【性病防治】艾滋病常见问答:传播途径与预防...
艾滋病,全称获得性免疫缺陷综合征(AIDS),由人类免疫缺陷病毒(HIV) 侵袭人体免疫系统所致。从感染病毒到发展为艾滋病,通常会经历数年乃至...
【双语】PrEP 是疫苗吗?吃一次能管多久?...
免费领!HIV/梅毒/丙肝试纸邮寄到家,隐私发货,查收这份自检指南...
那个确诊的下午,他以为天塌了…… | 愿每个拥抱都不再迟疑...
确诊后就“安全”了?警惕HIV“超级感染”,2026最新研究全解读...
当我们谈论梅毒时,它似乎有点陌生又有点可怕。实际上,它被称为“伟大的模仿者”,正以更隐蔽的方式潜伏在我们身边。今天,我们将剥开羞...
【双语】别信!这些“乙肝说”不可信!...
【双语】《梅毒》...
【双语】【健康科普】防乙之路,守护肝脏健康...
【双语】一文读懂乙肝的传染与预防...
【双语】艾滋病防控|一份给所有人的防艾指南...
【双语】《小心!这个病会“模仿”十几种皮肤病,很多人中招了还不知道》...
【双语】健康打工路,防艾伴你行—外出务工兄弟姐妹们的健康守护指南...
【双语】关爱艾滋病患者 共同抗击艾滋病...
【双语】知艾防艾,珍爱生命——艾滋病防治知识宣传...
【双语】高危行为后:把握艾滋病黄金阻断期...
【双语】健康科普 | 关于梅毒,必须知道的几件事...
【双语】普法|丈夫隐瞒艾滋10年,夫妻生活无任何防护,法院判了...
【双语】科普 | 呵护“小心肝”,从了解乙肝开始...
【双语】艾滋病预防新方式:HIV暴露前预防...
【双语】【健康科普】艾滋病:了解它,预防它,不必过度恐惧它...
【双语】防艾不用慌,三道防线守健康...
【双语】【健康警报】梅毒治疗的黄金窗口:在“全面爆发”与“终身伤害”之间...
【双语】别再误会TA!关于乙肝,这些真相你必须知道!...
“肝炎”一词用来描述一种常见的肝损伤。简单的意思是“肝脏的炎症”。乙型肝炎(乙肝)是一种特殊类型的肝炎...
【双语】确诊丙肝后,你应该了解的丙肝知识...
【双语】【科普知识】艾滋病前兆的20个症状!急性期像感冒,慢性期已太晚...
【双语】《这个不痛不痒的溃疡,可能是梅毒警报!》...
【双语】2+3健康服务包 | 警惕常见肝病--乙肝...
【双语】【普法宣传】一起来了解与艾滋病相关的法律法规...
艾滋病不治疗,到底能活多久?是不是一辈子可以靠“熬”过去?有朋友问了这样的问题:他本人感染艾滋病已经1年多了,因为有熟人在医院和疾...
艾滋病的全称是“获得性免疫缺陷综合征”(英文简称AIDS),由人类免疫缺陷病毒(英文简称也就是人们常说的HIV)所引起。主要表现为免疫系...
HIV病毒载量检测“检测不到”(阴性),而HIV快速检测试纸却仍然呈现“阳性”。有艾滋病感染朋友问这是怎么回事?H...
艾滋病毒的阳性诊断一度被认为是致命的,许多人生活在害怕将病毒传播给他人的恐惧中,这导致了艾滋病毒感染者数十年来的耻辱。虽然抗...
「我可太难了。」柴火坐在我对面,「你说我好不容易找到一个喜欢自己的人,为什么在那方面总是表现不好呢?」这可能存在许多原因。比如...
封面|Unsplash「我可太难了,」柴火告诉淡蓝公益,「好不容易找到一个喜欢自己的人,为什么我在那方面总是表现不好呢?」这存在许多可能性...
【双语】确诊艾滋后,预期寿命如何?...
【双语】HIV检测阳性者最常担心的7个问题...
【双语】转发收藏!丙肝可治愈,医保可报销!...
警惕“隐形杀手”:梅毒防治全攻略(WHO 2025新规解读)...
“感染HIV病毒后,多久会发展成艾滋病!?感染1年了,一直都在吃药,目前身体状态很稳定,想知道是否有可能一辈子不发展成艾滋病?消停的...
【双语】【疾控科普】知艾防艾,珍爱生命——艾滋病防治知识宣传...
【双语】HIV控制住就没事了?小心这些藏在背后的“健康刺客”...
【双语】【健康科普】高危行为后,72小时内服用“后悔药”,不后悔!...
【双语】【健康科普】——如何预防丙肝?...
【双语】HIV≠艾滋病!关于艾滋病的9个核心知识点,一文讲透...
【双语】【科普】社会共治,守正创新,终结艾滋...
【双语】【乙肝小课堂】乙肝的类型与症状:慢性乙肝...
【双语】梅毒,这个“模仿高手”要当心!...
【双语】2026年艾滋病零歧视日:以人为本,让爱无“碍”...
【双语】“艾梅乙”应知应会 | 反对歧视 共建无歧视医疗环境 ...
【双语】认识丙肝...
【双语】确诊丙肝后,你应该了解的丙肝知识 ...
【双语】消除艾滋病、梅毒和乙肝母婴传播项目核心知识...
“体检查出乙肝表面抗体阳性,是不是得乙肝了?”乙肝检查单上那些正正负负还有英文缩写,确实让人看得头大。其实,不同的阳性...
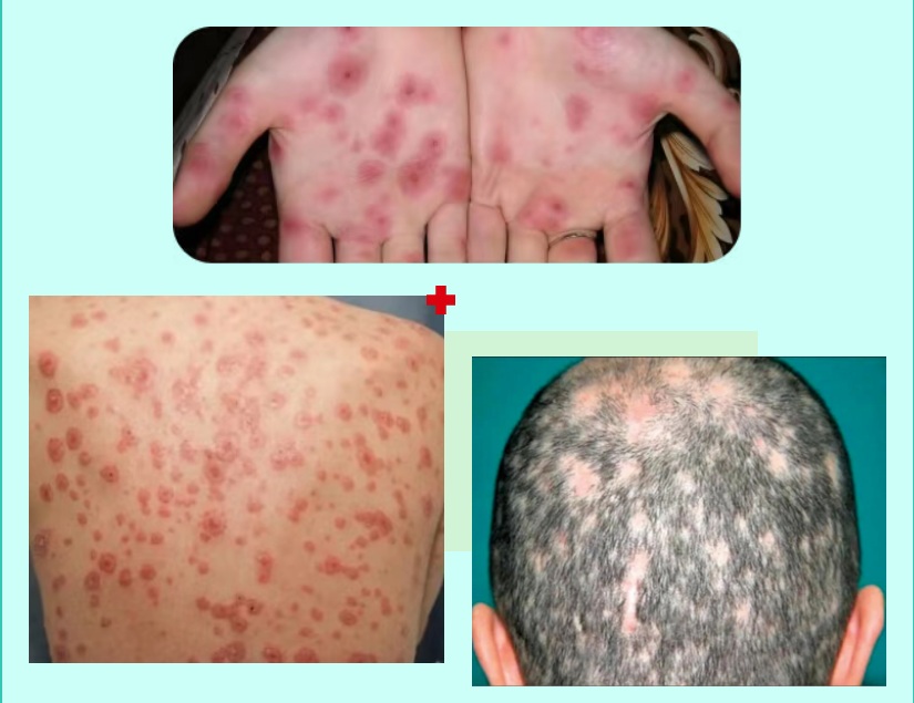
梅毒是一种由苍白螺旋体引起的慢性、系统性性传播疾病,可分为后天获得性梅毒和胎传梅毒(先天梅毒)。后天获得性梅毒又分为早期和晚...
谈起艾滋病(AIDS)的时候,很多人仍然会习惯性把它看作是只发生在“年轻人”身上的疾病。对于老年人,年老体衰,机能衰退,遛遛狗...
很多人好奇,HIV病毒进入人体后,身体有没有做抵抗呢?为什么不治疗,病程终将进入到发病期呢?今天就来聊一下这个问题:HIV病毒是如何进入...
医生,我体检查出HIV阳性,CD4只有480,是不是已经得艾滋病了?我是不是快不行了?”经常都能收到这样的私信,问题相似到我恨不得录一段...
在艾滋病防治的道路上,常有不实传言甚嚣尘上。这些传言似是而非,不仅会误导公众,还可能造成不良社会影响,必须引起重视。...
【双语】关于“艾”,你清楚自己的权利与义务吗?...
【双语】健康科普|乙肝防控健康知识宣传...
【双语】别让“艾”成为“碍”,这份防艾反歧视指南请查收!...
【双语】发生高危行为怎么办,有“后悔药”可以吃吗?...
【双语】丙肝可治愈!关于它,你必须知道的5件事...
【双语】艾滋病新增130万!很多人没乱来却无辜中招!公众场合千万坚持“4不碰”原则...
【双语】感染艾滋病病毒有哪些常见症状?高危行为后能否补救?...
【双语】健康科普 | 丙肝,可防可治!别再让它偷偷伤害你...
【双语】一个人感染了艾滋,能从外表上看出来吗?...
【双语】艾滋病全知道:现状、症状、预防及一个被忽视的高危群体...
【双语】《丙肝不是绝症:可治愈、能报销,一篇读懂!》...
【双语】检测与预防:艾滋病防治的“双保险”...
【双语】HIV 初筛有反应≠确诊:还要做确证?...
【双语】什么?原来很多梅毒是看不出来的?!...
在这个谈“艾”色变的时代,我们往往习惯于用回避来掩盖恐惧。但“检测”二字,本不应与恐惧或道德审判挂钩。它本质上是一种极度理性...
【双语】科普 | 如何让身边潜伏的艾滋病毒(HIV)远离你?...
【双语】《携手抗艾:从预防到关爱,共建健康校园》...
艾滋病高发省份排名...
【双语】知艾不惧,以爱防“艾”:让每个生命都被温柔以待...
【双语】3.1世界艾滋病零歧视日——预防艾滋 消除歧视...
【双语】艾滋病的十个真相...
【双语】艾滋病毒感染者的预期寿命...
【双语】警惕!丙肝与艾滋病3大传播途径重合,合并感染危害直接翻倍...
【双语】警惕“双重打击”!这些人群务必进行丙肝与艾滋病检测...
截至2025年底,全国存活的HIV感染者和艾滋病患者合计140万人以上(含已报告和未报告病例),并且每年仍有约10万例新增感染(HIV/AIDS)。全...
洗澡时摸到私处有几个小疙瘩、上厕所时有点刺痛、内裤上出现异常分泌物...
今天(12月1日)是第38个“世界艾滋病日”。日前,联合国艾滋病规划署发布报告显示,当前全球仍有4080万名艾滋病病毒感染者,其中920万人还...
最近几年,越来越频繁地感到一种寒意:艾滋病年轻化了。ta们有男有女,有同性恋,有异性恋,有刚考上大学的学生,也有刚进入社会的青年&hell...
“每次都戴安全套,是不是就完全不需要恐慌艾滋病,性病了!?”“明明戴套了,为什么还是感染了生殖器疱疹?”今天就...
paperplaneTH“ 近年来,全球艾滋病(HIV)综合治疗策略的研究取得了显著进展。这不仅体现在新药研发上,更涵盖了耐药性管理、治疗方...
亲爱的家人: 如果您的家庭中有一位成员是艾滋病(HIV)、梅毒或乙肝(HBV)感染者(即“单阳家庭”),科学的防护措施可以大大降低...
案例分享39岁的李女士是职场女性,也是两个孩子的妈妈,她工作繁忙,家庭琐事多,几乎无暇顾及自己,前段时间,她外阴出现异常红斑,起初以为是...
【双语】【健康科普】传染性乙肝健康科普知识...
消除艾滋病、梅毒和乙肝母婴传播工作是国家重大公共卫生项目,是国家关爱妇女儿童的重要举措,对降低孕产妇死亡率和5岁以下儿童死亡...
消除艾滋病、梅毒和乙肝母婴传播工作是国家重大公共卫生项目,是国家关爱妇女儿童的重要举措,对降低孕产妇死亡率和5岁以下儿童死亡...
消除艾滋病、梅毒和乙肝母婴传播工作是国家重大公共卫生项目,是国家关爱妇女儿童的重要举措,对降低孕产妇死亡率和5岁以下儿童死亡...
【双语】艾滋病十问十答 ...
【双语】关注艾滋病合并慢性病风险...
【双语】HIV的感染不是结束:早治疗,给未来一个机会...
【双语】健康科普|关于梅毒,这些知识你必须了解...
【双语】安全套脱落,发生高危怎么办?...
【双语】【健康科普】让科学终结恐惧,用包容终结歧视!我们这样认识HIV...
【双语】别再胡来了 艾滋病正扑向更年轻的一代...
艾滋病病毒(HIV)感染检测的“窗口期”相关问题是艾滋病咨询的热点。比如:“什么是窗口期?”“影响它的因素有哪些?”“...
不同类型艾滋病检测试剂的差别主要体现在检测标志物和灵敏度上,在检测标志物和原理相同的前提下,不同品牌试剂的检测窗口期差异不明...
对于窗口期的了解,有助于我们选择检测时机、解读检测结果、解除感染恐慌。...
...
...
“和陌生人发生了无套X行为,在第14天抗体测的阴性,能百分百排除了吗?”“艾滋病窗口期是多久,为什么有人说6周,有人说...
【双语】高危后如何最快排除有没有感染艾滋?...
在多巴胺分泌的欢愉与潜在的健康风险之间,我们往往只隔着一层薄薄的乳胶。为了切实守护塔城公众的健康防线,响应健康新疆的号召,塔城...
科学家们确认了世界上第十个人在不依赖抗逆转录病毒药物的情况下实现了长期 HIV 缓解。据《自然》杂志报道,该患者接受了干细胞移...
【双语】谈“艾” 无需色变...
对方是按摩店技师,可能也会提供一些擦边服务。只是在她大腿附近蹭一蹭,没有真正进入,期间可能很短时间挨到了对方的下体,有没有风险?&r...
【双语】【科普】比HIV更可怕的,是人心的偏见...
【双语】【健康科普】丙肝防治宣传教育核心信息...
【双语】小秘密,大保护:返乡须知的“安全套”与“检测宝典”...
在医学技术迅猛发展的今天,HIV感染者的生育问题已不再是遥不可及的梦想。抗病毒治疗(ART)的普及和母婴阻断技术的成熟,让HIV感染者生...
【双语】影响HIV患者长期生存的关键因素有哪些?...
高危第5天突然发烧到39℃,嗓子也疼,是不是已经感染艾滋病了?感染HIV的概率大吗?”今天就来聊一下这个问题:人为什么会发烧?简单来...
【双语】梅毒可防可治,科学防控护您健康!...
科普 | 什么是丙肝?能治愈吗?...
时至今日,一说到艾滋病,公众往往都会“谈艾色变”……认为感染上艾滋病,就如同被判了死刑,有的人甚至因此患上了“艾滋病恐惧症”。...
“我今年才21岁,却感染了艾滋,非常遗憾,感觉胸口被大石压着一样,对于未来的生活很迷茫,”...
当查出HIV感染后,人们第一时间想到的问题:我会不会死?如何生存下去?会不会传染给家人?其实,艾滋病就像高血压,糖尿病一样,只要按时吃药,不...
他曾以为人生从此坠入黑暗、却在护士的一个拥抱里看见了光...
小陈,24岁,在重庆一次例行检测中确诊HIV阳性。他回忆,确诊前三个月里,与几名性伴发生过无保护肛交,“当时觉得对方看起来挺健康的...
提到梅毒,很多人觉得离自己很遥远,甚至觉得只有“不洁身自好”才会得。但真相是:梅毒极具伪装性,早期常常不痛不痒,悄无声息...
封面|Unsplash「我可太难了,」柴火告诉淡蓝公益,「好不容易找到一个喜欢自己的人,为什么我在那方面总是表现不好呢?」这存在许多可能性...
致感染HIV的另一半:我们是平等的...
医学生,入职发现感染HIV...
...